全瓷貼片+假牙 「快跟黃牙說Bye Bye👋🏼」 每一個唇紅齒白的女人背後都擁有一個專業牙醫👨🏻⚕️ 最近來找院內做美學治療的患者 因前牙做過根管治療和大面積樹脂填補 長時間下來造成「齒色變暗」 VIEW MORE
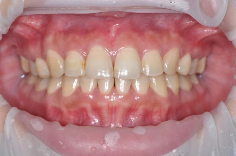
上門牙四顆「全瓷冠」 柯先生是一位非常害怕看牙,對於露出牙齒微笑沒自信的患者,在前牙美觀區他選擇以「全瓷冠」修復蛀牙和補牙的樹脂變色問題,也在牙齒角度做了些微美觀調整,完成治療後,患者終於能自信的笑了~ VIEW MORE
上門牙兩顆「輕透瓷貼片」 梁小姐本身是霧眉師,在別家診所做完矯正後,一直很在意兩顆門牙中間的縫隙,劉立德醫師評估可以利用「輕透瓷貼片」讓矯正後的成果更完美,梁小姐對現在的門牙美觀也滿意多了~ VIEW MORE