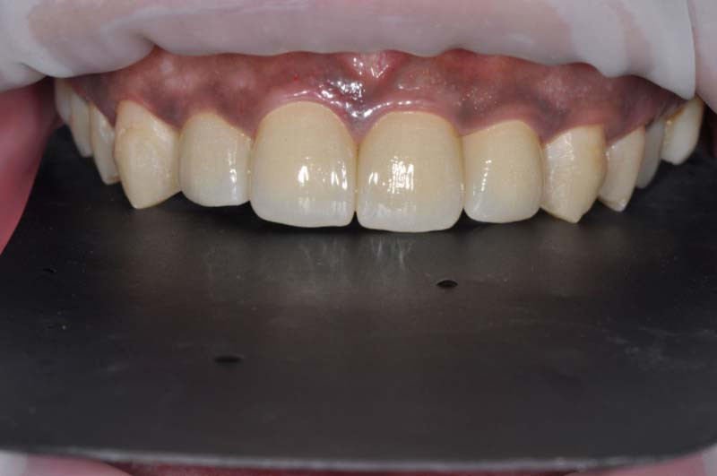
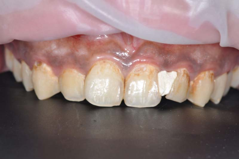
柯先生是一位非常害怕看牙,對於露出牙齒微笑沒自信的患者,在前牙美觀區他選擇以全瓷冠材質的假牙修復蛀牙和補牙的樹脂變色問題,也在牙齒角度做了些微調整,完成治療後,患者終於能自信的笑了~

 

Before
上門牙四顆「全瓷冠」
After
上門牙四顆「全瓷冠」
INFO

晶悅
牙醫

晶睿
牙醫

晶匯
牙醫

寶貝牙
牙醫

關閉