梁小姐本身是霧眉師,在別家診所做完矯正後,一直很在意兩顆門牙中間的縫隙,劉立德醫師評估可以利用「輕透瓷貼片」讓矯正後的成果更完美,梁小姐也表示現在覺得自己笑起來好像又更有自信了!

案例 by 劉立德醫師

 

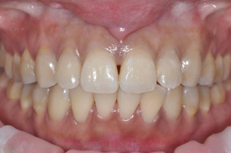
Before

門牙中間有明顯的縫隙

上門牙兩顆「輕透瓷貼片」
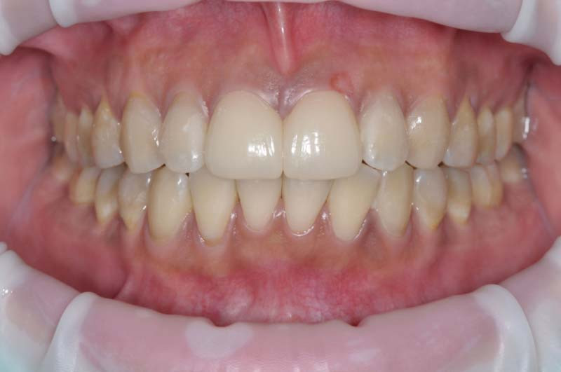
After

「輕透瓷貼片」改善了門牙中間的縫隙

上門牙兩顆「輕透瓷貼片」
INFO

晶悅
牙醫

晶睿
牙醫

晶匯
牙醫

寶貝牙
牙醫

關閉