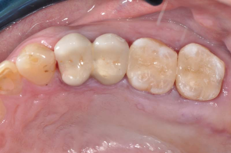
徐小姐的右上最後兩顆臼齒,蛀牙範圍大且深,徐小姐希望嘗試做「活髓保存術」留住神經,後續醫師建議要給予適當的保護,減少咬裂的機會,一般補牙樹脂能恢復的強度有限,所以患者選擇製作 「全瓷3D齒雕」 ,以恢復牙齒良好的機能和強度。

 

Before

蛀牙範圍大且深

活髓治療+3D齒雕 - 3
After

以「全瓷3D齒雕」恢復牙齒原本外型

活髓治療+3D齒雕 - 3
INFO

晶悅
牙醫

晶睿
牙醫

晶匯
牙醫

寶貝牙
牙醫

關閉