日三牙醫體系
體系介紹
晶悅介紹
晶睿介紹
晶匯介紹
寶貝牙牙醫診所
醫療團隊
醫療項目
人工植牙科
高壓氧植牙
全口重建
All-on-4/6
牙周病科
牙周微創水雷射
齒顎矯正科
隱形矯正
傳統矯正
兒童早期矯正
贋復補綴牙科
全瓷冠假牙
輕透瓷美白貼片
3D齒雕
牙髓病科
活髓治療
顯微根管治療
皓齒美學牙科
原生牙美白
其他分科
口腔顎面外科
兒童牙科
家庭牙醫科
專業設備
醫師文章
案例分享
全口重建 植牙 牙周病
齒顎矯正 兒童矯正
全瓷冠贋復 牙齒美學
最新消息
門診預約
晶悅門診
晶睿門診
晶匯門診
寶貝牙門診
影片分享
人才招募
日三牙醫體系
+
–
體系介紹
晶悅介紹
晶睿介紹
晶匯介紹
寶貝牙牙醫診所
醫療團隊
醫療項目
+
–
人工植牙科
+
–
高壓氧植牙
全口重建
All-on-4/6
牙周病科
+
–
牙周微創水雷射
齒顎矯正科
+
–
隱形矯正
傳統矯正
兒童早期矯正
贋復補綴牙科
+
–
全瓷冠假牙
輕透瓷美白貼片
3D齒雕
牙髓病科
+
–
活髓治療
顯微根管治療
皓齒美學牙科
+
–
原生牙美白
其他分科
+
–
口腔顎面外科
兒童牙科
家庭牙醫科
專業設備
醫師文章
案例分享
+
–
全口重建 植牙 牙周病
齒顎矯正 兒童矯正
全瓷冠贋復 牙齒美學
最新消息
門診預約
+
–
晶悅門診
晶睿門診
晶匯門診
寶貝牙門診
影片分享
人才招募
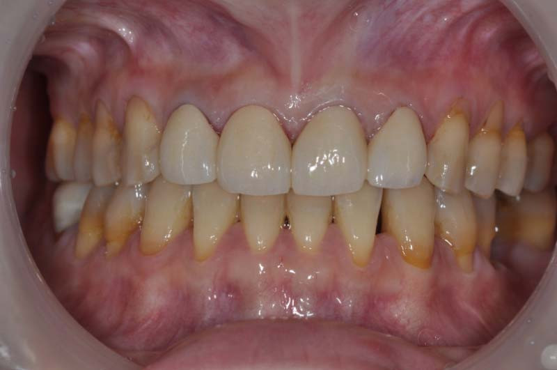
上門牙四顆「全瓷冠」
首頁
/
案例分享
/
全瓷冠贋復 牙齒美學
/
上門牙四顆「全瓷冠」
全瓷牙冠優點
不易造成金屬過敏現象
硬度高
不易有牙齦變色問題
案例 by 劉立德醫師
Before
抽過神經的牙齒偏暗,補過的材料變色
After
上門牙四顆更換成全瓷冠,顏色自然,不易染色
分享到
INFO
晶悅
牙醫
晶睿
牙醫
晶匯
牙醫
寶貝牙
牙醫
關閉